3D “Three-in-one ”
imaging
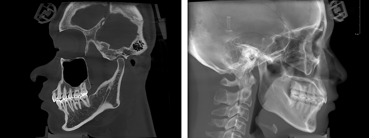
Simultaneous acquisition of CT, 3D panoramic and 3d frontal and lateral view by one circle scan.
20x18cm non-fusion
large field of view
Various FOV options
20×18cm、16×15cm、16×9cm、
8×8cm、4×4cm.
28lp/cm High-
definition imaging
Having multiple artifact correction algorithms
2.6s
Fast imaging
The reconstruction of large FOV CT only takes 2.6 seconds.


Realizing non-fusion large FOV
Pirox adopts the world's first dual source parallel scanning technology, with one circle scan and 30 seconds , realizing non-fusion large FOV imaging.
Realizing 3D “3-in-1 ” imaging
One circle scan can simultaneously obtain CT, 3D panoramic view, and 3d frontal and lateral view, Patients do not need multiple scans.
20×18cm non-fusion
large field of view
The maximum FOV can reach 20 × 18cm,Fulfilling dental diagnostic needs to the fullest extent, and capable of easily accommodating patients with large body types.
With Various FOV options: 20×18cm、16×15cm、16×9cm、8×8cm、4×4cm.

The 20 × 18cm FOV, can fully cover the range from the top of the forehead, down to the neck angle (up to the 4th cervical vertebra), and from the front to the tip of the nose. Even for patients with overweight and larger facial shapes, this FOV is effortless.

Through statistical optimization and iterative reconstruction, it breaks through the bottleneck of radiation dose imaging.
By fully utilizing the redundancy of scanned geometric data and through GPU parallel computing, the quality and efficiency of image reconstruction can be greatly improved.
before correction
after correction
Balancing technology and comfort
Balancing technology and comfort
Efficient Head clip & jaw rest
Stable seated structure
Floor standing rotating bracket
Heat dissipation module
Touch screen
Data transmission by Slip-ring
Wireless X-ray handbrake
Durable quality with
Smaller volume
New
Voice assistant
New
LamTau is independently developed by YOFO Medical
Integrating CT reading, remote CT reading, AI-assisted diagnosis, and cloud storage expansion
Enable interconnectivity of data from multiple devices
AI Functions + AI Cephalometry
Regardless of whether there is an internet connection, CT reading and Cephalometry can be conducted at the Lamtau. Multiple AI image functions make diagnosis more efficient.
Remote CT reading
The cloud function of Lamtau can easily achieve remote CT reading and consultation functions. By specifying sharing, remote terminals can immediately see shared C T data and diagnostic items.
Dental CT intelligent report
Based on CT data, it is more accurate and can intelligently identify lesions, output auxiliary diagnostic reports with one click, greatly improving the efficiency of doctor-patient communication.
Cloud storage expansion
If you want to perform storage expansion or backup, you can upload the data as needed to the LamTau private server.
Imaging field of view 20×18cm / 16×15cm / 16×9cm / 8×8cm / 4×4cm
Imaging mode Automatic 3D three-in-one imaging
Grey scale 16bit
Highest resolution 28lp/cm
Voxel size 0.06~0.3mm
Scanning time 10~30s
Fast imaging 2.6s
Tube voltage 80~125kV
Tube current 2~8mA
Focal-spot size 0.5mm
Sensor type Amorphous silicon
Physical size 1360x1068x1676mm
Stable performance
An automatic leveling system allows CBCT to scan anytime without recalibration.
Compact car body
The mobile CBCT van provides the adaptability to work at various locations, whether in the countryside or urban community.
Complete radiation shielding
Radiation protection is fully equipped and tested to ensure radiation safety.
Comprehensive
hardware facilities
Workstation , air conditioner and four monitorings are equipped.
3D “3-in-1 ” imaging
Simultaneous acquisition of CBCT, panoramic and cephalogram images by one circle scan, makes dental diagnosis more efficient.
Continuous scanning
Cooling module allows it to work continuously, making it easy to handle even with more than 100 patients in one day
颜色定制
散热模组
无线手闸
语音助手
新品
Pirox-D
1360x1068x1676mm
3D 3合1
16bit
28lp/cm
0.125mm~0.25mm
自研
80~125kV
2-8mA
0.5mm
脉冲/连续
单处理中心
标准2T / 增配10T
AC220±22V / 50±1Hz max
2kVA
原Pirox-Z15
Pirox-R
1360x1068x1676mm
3D 3合1
16bit
28lp/cm
0.125mm~0.25mm
进口
60~90kV
2-8mA
0.5mm
脉冲/连续
单处理中心
标准2T / 增配10T
AC220±22V / 50±1Hz max
2kVA
新品
Pirox-E
1360x1068x1790mm
3D 3合1
16bit
28lp/cm
0.125mm~0.25mm
自研+相变冷凝
80~125kV
2-8mA
0.5mm
脉冲/连续
双处理中心
标准10T / 增配40T
AC220±22V / 50±1Hz max
2kVA
The maximum FOV of Pirox can reach 20×18 cm,Fulfilling dental diagnostic needs to the fullest extent. With Various FOV options: 20×18cm、16×15cm、16×9cm、8×8cm、4×4cm.


before correction
after correction
before correctionafter correction